Description
Adult Torso for X-Ray CT, MRI
Product Description
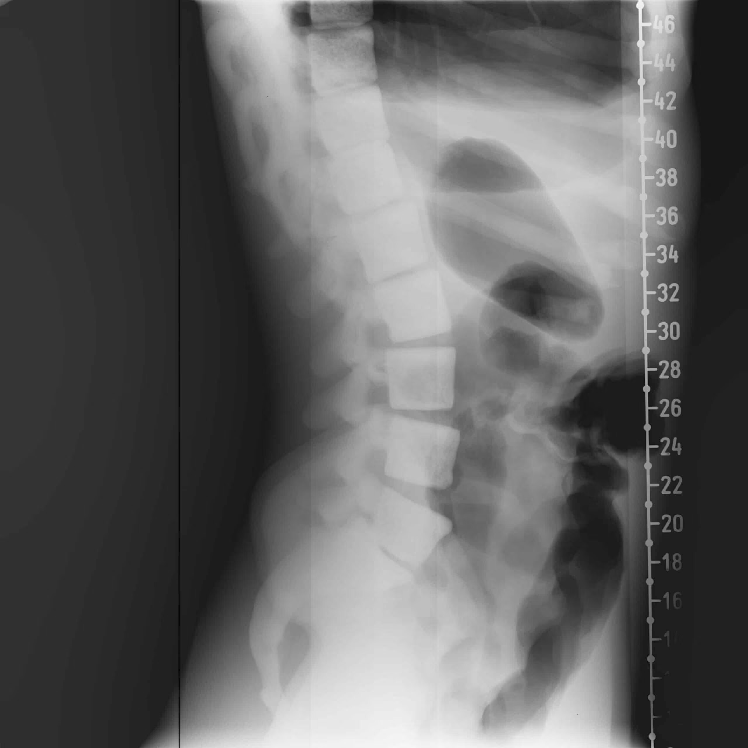
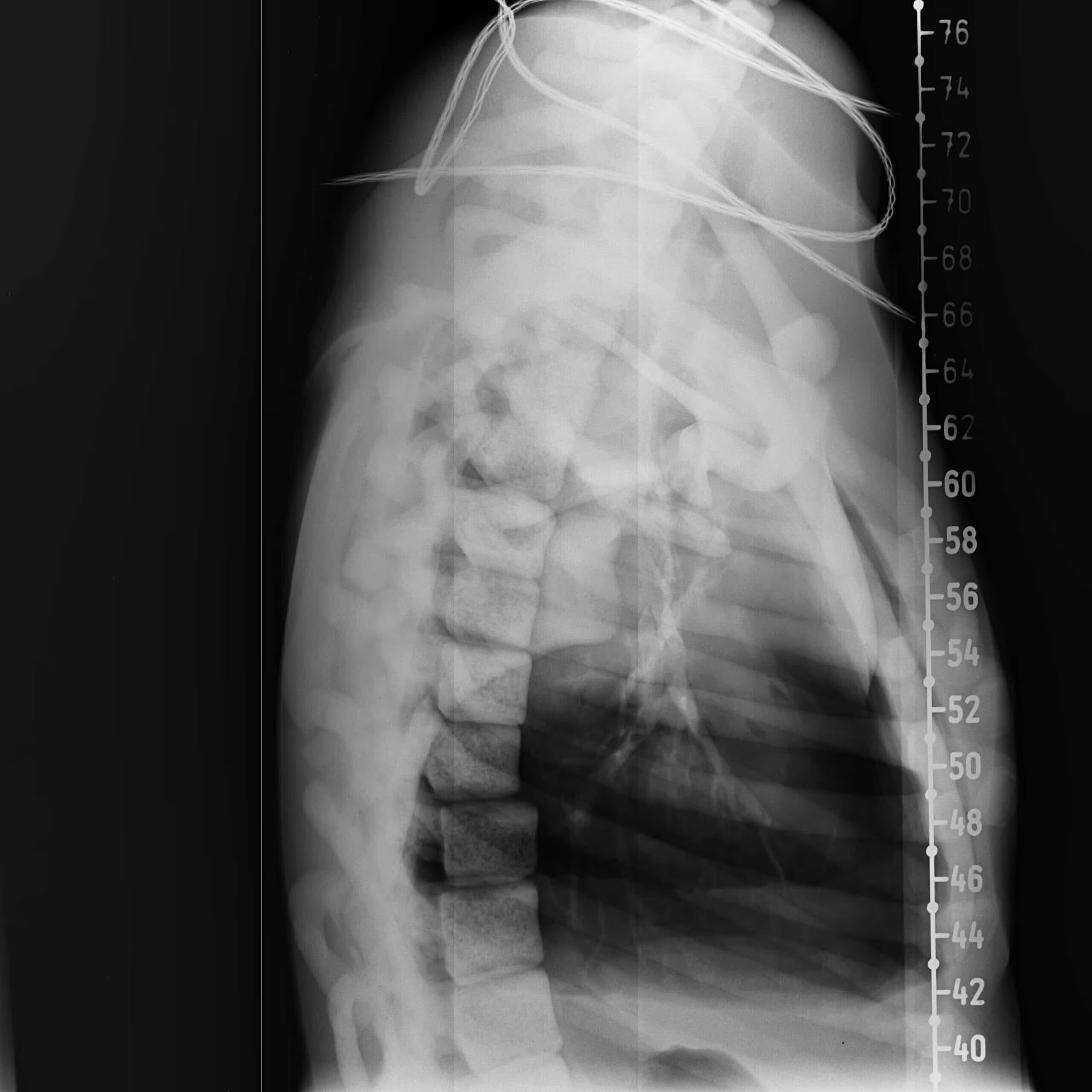
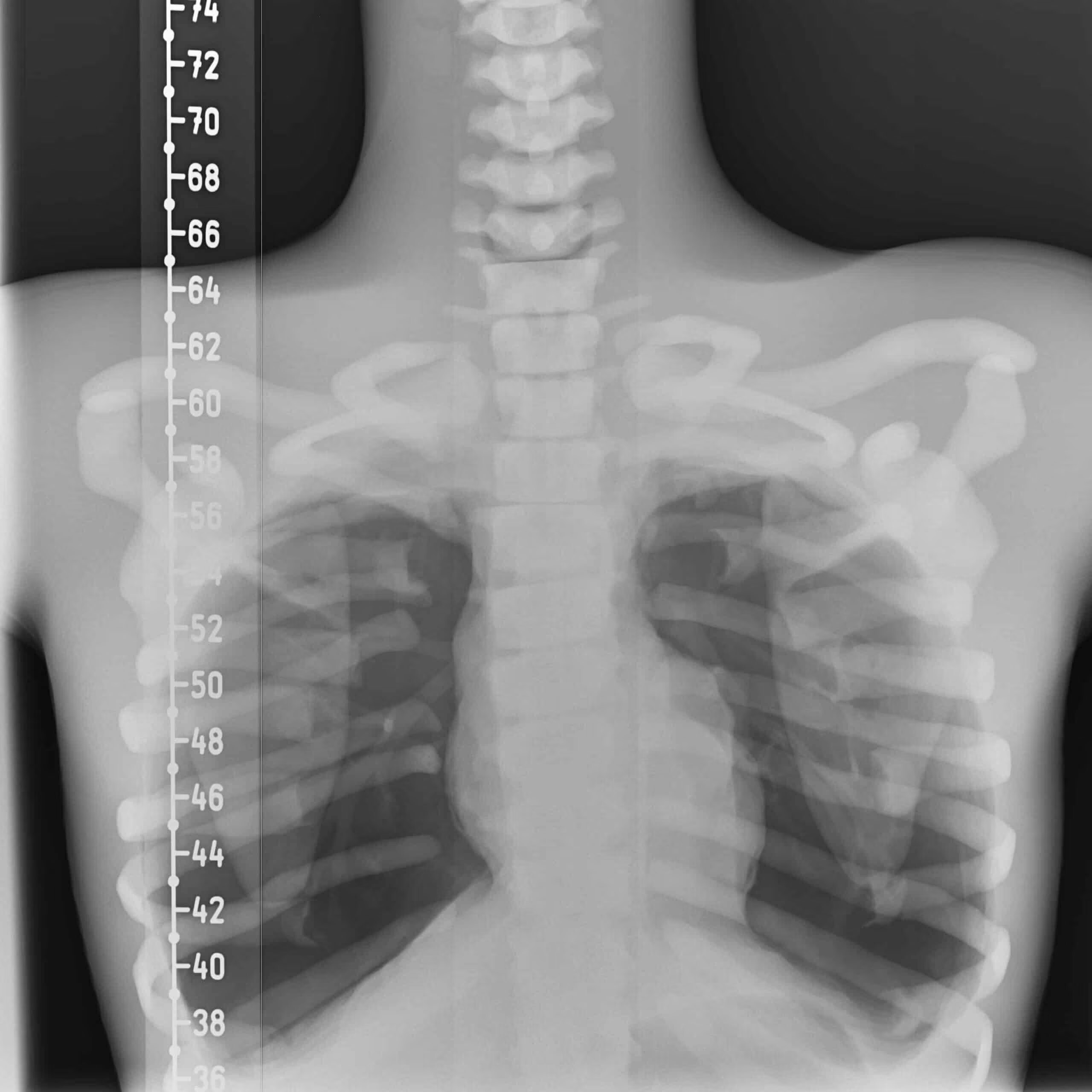
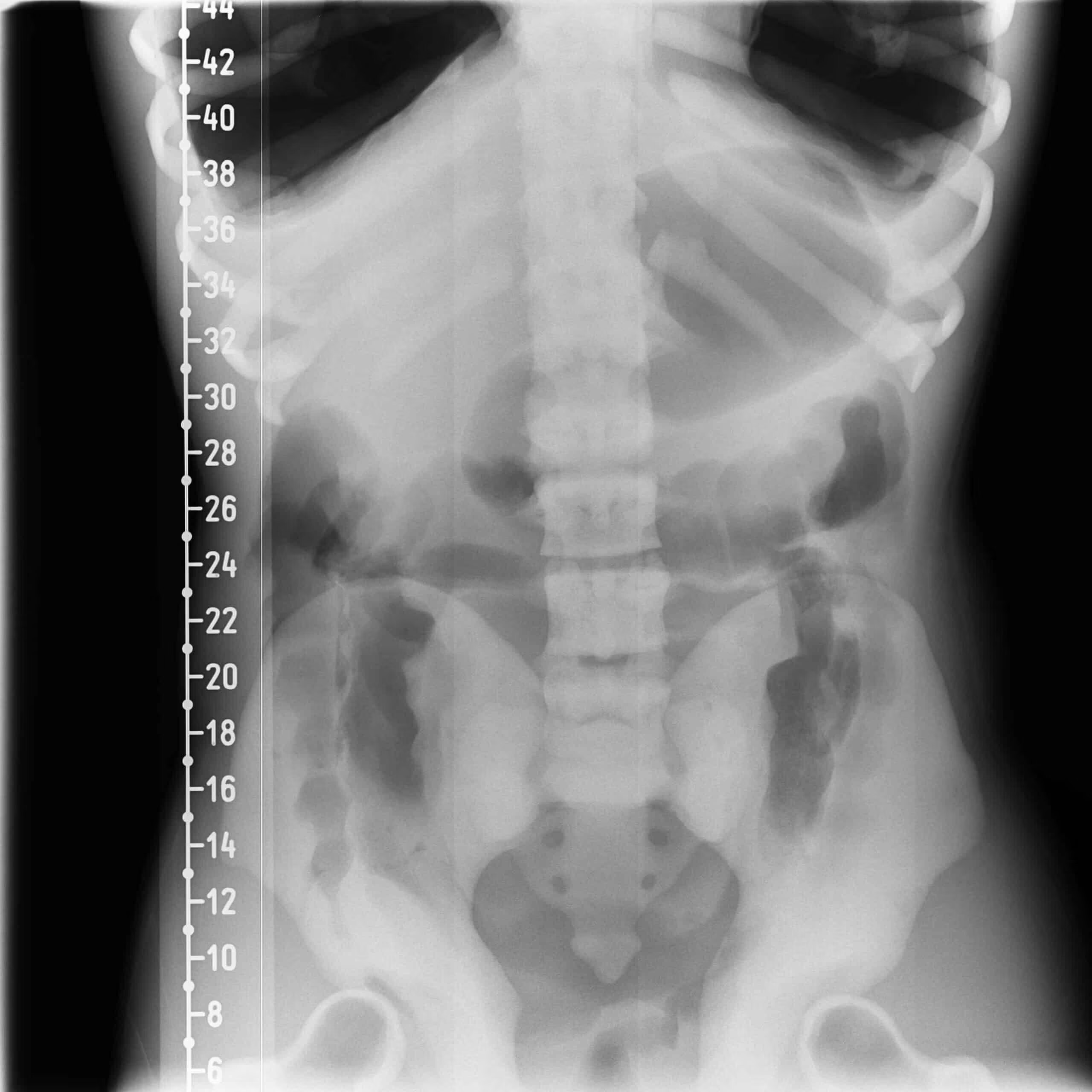
Designed based on average human anatomy, the Adult Torso phantom is constructed with realistic bone and soft tissue-mimicking materials suitable for X-Ray/CT and MRI applications. It serves as an essential tool for medical imaging research, radiology training, and equipment calibration. The skeleton features individually cast bones with vertebrae that have a realistic three-layered structure and inner porosity.
For MRI applications, the tissues provide realistic T2 relaxation time values, making it an ideal fit for T2-weighted and proton-density imaging methods. T1-weighted methods are possible, with values typically within the 100 ms range. The lungs can be customized to simulate various pathologies, such as mucus, lesions, or typical infections, making it a viable simulator for COVID-19-related diagnostic training.
Note: By default, the phantom comes in a translucent amber appearance. The skin feature and customization in size and shape (based on individual CT scans) are available upon request.
Anatomy
- Complete Spine and Ribcage
- Shoulders & Clavicle
- Pelvis and Partial Femur Bones
- Trachea, Heart, and Lungs
- Diaphragm, Gallbladder, and Liver (including Ligaments and Bile Ducts)
- Stomach, Kidneys, and Spleen
- Pancreas, Large & Small Intestines
- Bladder and Prostate
Technical Properties
| Type of Tissue | Sound Velocity [m/s] | Density [g/cm³] | Attenuation (2.25 MHz) [dB/cm] | Hardness [Shore 00] | T2 [ms] | Speckles |
|---|---|---|---|---|---|---|
| Organs with Speckles | 1435 ± 10 | 0.99 | 1.0 ± 0.2 | 20 | 70 | VARIABLE |
| Organs without Speckles | 1400 ± 10 | 0.99 | 1.0 ± 0.2 | 20 | 70 | NO |
| Body Tissue | 1410 ± 10 | 1.00 | 1.5 ± 0.2 | 40 | 55 | NO/LOW |
| Tumor Feature (Optional) | 1400 ± 10 | 1.01 | 1.2 ± 0.2 | 30 | 65 | YES |
| Cortical Bone | 3000 ± 30 | 2.31 | 6.4 ± 0.3 | N/A | N/A | N/A |
| Trabecular Bone | 2800 ± 50 | 2.03 | 21 ± 2 | N/A | N/A | N/A |
Thermal Properties of Bone-Mimicking Material
| Thermal Conductivity | Volumetric Specific Heat | Thermal Diffusivity | Thermal Resistivity | Specific Heat | Speed of Sound |
|---|---|---|---|---|---|
| 0.776 W/ m K | 1.040 MJ/ m³ K | 0.746 mm²/ s | 1.289 m K/ W | 0.978 J/ g °C | 3070 m/s |
HU Values of the Tissue-Mimicking Materials
| Tissue Type | HU Value (Average) | Tissue Type | HU Value (Average) |
|---|---|---|---|
| Body Tissue | -25 | Kidneys | 110 |
| Trabecular Bone | 800 | Bladder | 35 |
| Cortical Bone | 1300 | Rectum Wall | 100 |
| Aorta | 40 | Sigmoid Colon Wall | 100 |
| Vena Cava | 40 | Heart | 40 |
| Trachea (Tissue) | 80 | Liver | 110 |
| Trachea (Air) | -1000 | Gallbladder | 35 |
| Lungs | -850 | Diaphragm | 80 |
| Pancreas | 110 | Intestines (Tissue) | 80 |
| Spleen | 110 | Intestines (Air) | -1000 |
| Stomach | -850 | - | - |
Included in Order
- Adult Torso Phantom
- User Manual / Assembly Instructions
- 2-Year Warranty & Unlimited Customer Service
- Hard Carry Case
Size & Weight
Phantom: 34 x 18 x 10 Inches | Weight: ~88 Lbs
Shipment: 46 x 36 x 17 Inches (with case) | Weight: ~142 Lbs
Materials Used
- Soft tissue and organs: Composition of urethane-based soft resin
- Synthetic bones: Patented ceramic-reinforced epoxy-based composite material
Model Options
- Torso Models: Male (Standard), Male (Dynamic), Male (Cardiac), Male (Cardiac/Fast), Male (Skin)
- Modality: X-Ray CT, MRI (Standard) or X-Ray CT, US
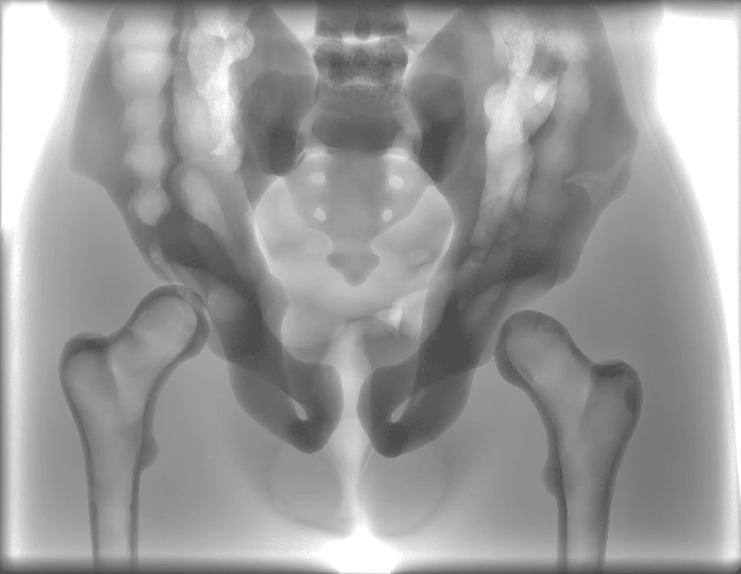
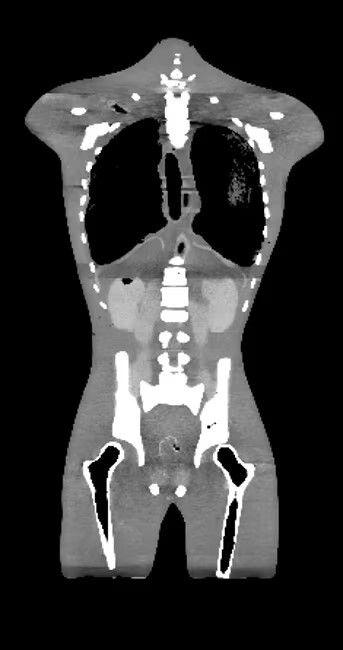
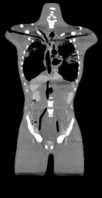
Imaging Scans
X-Ray Image Scans
X-Ray Fluoro Image Scans
CT Image Scans
MRI Image Scans
Warranty Information
2-Years Limited Warranty Against Manufacturer Defects
True Phantom Solutions Inc. (TPS) Products Limited Warranty
The TPS products are guaranteed to be free from defects in material and workmanship, under normal use, for a period of two years after date of shipment. This warranty covers the repair or replacement of a product when is sent prepaid to TPS. TPS does not assume liability for installation, abuse, alteration, insufficient application data provided for a design or misuse. We are responsible for the condition of our product. We would love to help you resolve any issues. Please let us know if you have received any defective items by contacting us here: [email protected]
Who qualifies?
TPS customers who buy directly from True Phantom Solutions Inc.. Products purchased from other third-party sellers are NOT eligible for TPS limited warranty. Purchased from other channels may offer different or altered warranties.
What qualifies?
Valid only for items with manufacturer defects, flaws produced by a manufacturer error, or defects caused during production. Products must be in their original storage case (if provided) or one with comparable protection.
Returns/Replacements
Any product requiring a return/replacement (for warranty or non-warranty repair) requires pre-approval from Anatomy Warehouse prior to shipment. Contact Anatomy Warehouse customer service department at 800-422-1134 or [email protected] in order to obtain a RPA (Return/Replacement Product Authorization) number. The RPA number should be clearly marked on the returned package label and your packing list, or shipping document. Return product freight prepaid in its original storage case (if provided) or one with comparable protection. True Phantom Solutions will not accept return shipments sent freight collect. Product damage incurred during return shipment, from poor packing, will not be warranted by True Phantom Solutions.
















